What Is a Root Canal?
A root canal treatment is a dental procedure to remove inflamed or infected pulp on the inside of the tooth, which is then carefully cleaned and disinfected, and then filled and sealed. Root canal treatment is designed to eliminate bacteria from the infected root canal, prevent reinfection of the tooth and save the natural tooth.
Reasons for Root Canal Treatment
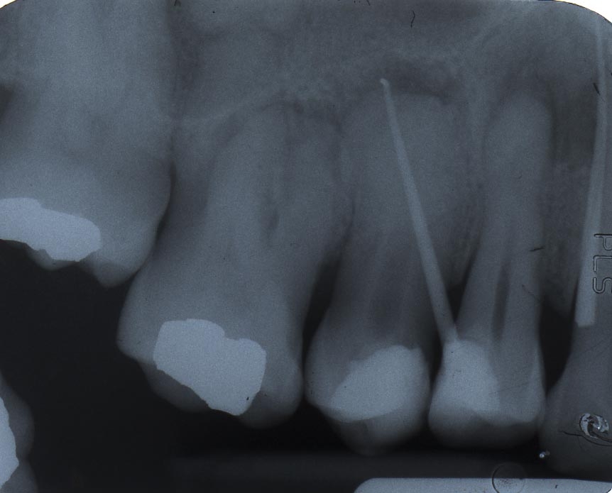
Root canal treatment is necessary when the pulp, the soft tissue inside the root canal, becomes inflamed or infected. There are a whole host of reasons why you might need root canal treatment:
- Deep decay
- Repeated dental procedures on the tooth
- Faulty crown
- Crack or chip in the tooth
In addition, an injury to a tooth may cause pulp damage even if the tooth has no visible chips or cracks. If pulp inflammation or infection is left untreated, it can cause pain or lead to an abscess.
What Are the Signs That You Need a Root Canal?
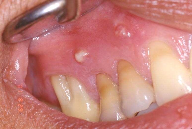
There are a few symptoms that mean you might need a root canal—
- Severe pain while chewing or biting
- Pimples on the gums
- A chipped or cracked tooth
- Lingering sensitivity to hot or cold, even after the sensation has been removed
- Swollen or tender gums
- Deep decay or darkening of the gums
Endodontists are the dental specialists who primarily focus on the diagnosis, prevention, and treatment of diseases or injuries to the dental pulp. With their extensive knowledge in this field, endodontists are experts in performing root canal treatments.
What Happens During Root Canal Treatment?
The process begins with the patient receiving local anesthesia to ensure their comfort throughout the treatment. Then, utilizing state-of-the-art techniques and advanced equipment such as digital imaging and operating microscopes, the endodontist meticulously removes the infected or damaged pulp from the tooth’s root canals while ensuring minimal discomfort for the patient.
These specialists alsouse their expertise to address complex cases involving intricate root canal anatomy or failed previous root canal treatments. Their precision and attention to detail enable them to effectively clean and disinfect the canals before filling them with biocompatible materials like gutta-percha.
A modern root canal treatment is nothing like those old stories! It's very similar to a routine filling and can usually be completed in one or two appointments, depending on the condition of your tooth and your personal circumstances. Getting a root canal is relatively painless and extremely effective. You'll be back to smiling, biting and chewing with ease in no time.
Benefits of Saving the Natural Tooth
There are many clinical reasons for needing root canal treatment. Parallel to this, there are also countless practical reasons why saving the natural tooth is a wise choice. Endodontic treatment helps you maintain your natural smile, continue eating the foods you love and limits the need for ongoing dental work. With proper care, most teeth that have had root canal treatment can last a lifetime.
Virtually Pain-Free Procedure
Root canal treatment is virtually painless and often leaves you with less discomfort during recovery than if you have your natural tooth extracted. Thanks to modern techniques and effective anesthesia, patients who have undergone root canals are six times more likely to describe it as painless than patients who have a tooth extracted.
Efficient & Cost-Effective
Tooth extraction can take longer than root canal treatment due to follow-up appointments required for a denture, bridge, or implant. Plus, the cost may be higher. Fortunately, most dental insurance plans cover endodontic treatment.
Visually Appealing Result
Crowns not only function like natural teeth; they look great, too. Improve your smile and laugh out loud again with root canal treatment.
Will I Need to Return to Your Office for Additional Visits?
Once endodontic therapy is completed, our utmost priority is ensuring the long-term health and stability of your tooth. To achieve this, regular follow-up visits are essential in monitoring the healing progress. It is generally recommended to schedule these visits every six to 12 months to allow us to thoroughly examine the treated area and assess its condition. By doing so, we can promptly identify any potential issues or ensure that the healing process is proceeding smoothly. Rest assured that you will receive a personalized notice via mail when we deem it necessary to reevaluate your tooth.
This proactive approach ensures that no complications go unnoticed and appropriate measures can be taken if needed. Understanding that different cases require different timelines for complete recovery, our office commits itself to reassessing the tooth for at least two years since an abscess may take considerable time to heal fully. Your ongoing dental well-being remains our primary concern throughout this period of observation and beyond.
Wish to learn more? Contact Big Apple Endodontics at (212) 980-7857 or visit our dental office located at 121 East 60th Street, Suite 4A, New York, NY 10022.
Office Hours
MON9:00 am - 4:00 pm
TUE7:00 am - 4:00 pm
WED - FRI9:00 am - 4:00 pm
SAT - SUNClosed
